

Institut für
FI Fischereiökologie
Projekt
Künstliche Reproduktion des Europäischen Aals

Überwindung der Schwierigkeiten bei der Nachzucht des Europäischen Aals. Optimierung der künstlichen Reifung, der Hälterung und der Erbrütung.
Der Europäische Aal (Anguilla anguilla) wird als gefährdet eingestuft, die aktuelle Nutzung des Bestandes als nicht nachhaltig. Bis heute war es nicht möglich, Aale in Gefangenschaft zu vermehren. Die Produktion in Aquakultur beruht ausschließlich auf Wildfängen von Jungaalen, entlastet also nicht vom Druck der Fischerei. Langfristig kann eine Methode zur künstlichen Reproduktion helfen, den Europäischen Aal nachhaltig zu nutzen und den Bestand zu stützen. Um das erreichen zu können, müssen aber noch grundlegende Schwierigkeiten bei der Nachzucht von Aalen überwunden werden.
Hintergrund und Zielsetzung
Ziel des Projektes ist es, die künstliche Vermehrung des Europäischen Aals (Anguilla anguilla) in Deutschland voranzutreiben. Die Untersuchung und Entwicklung optimaler Hälterungsbedingungen für Elterntiere, Eier und Larven soll es ermöglichen, permanent gesunde Aallarven zu produzieren. Die Hälterungseinrichtungen entwickeln wir in Zusammenarbeit mit der Firma Kunststoff-Spranger aus Plauen. Im Verbund mit der Universität Hamburg und der Firma BluBioTech in Büsum forschen wir darüber hinaus an der Entwicklung von geeigneten Futtermitteln für Aallarven.
Vorgehensweise
Die kontrollierte Reifung weiblicher und männlicher Aale wurde durch die wiederholte Gabe von Hormonen gesteuert. Dabei wurden die Wirksamkeit verschiedener Hormone und Konzentrationen auf den Reifungsprozess untersucht, sowie Verfahren zur Befruchtung und zur Eierbrütung etabliert. Die produzierten Eier wurden darüber hinaus auf verschiedene Schadstoffe getestet, um den Transfer potentiell reproduktionstoxischer Verbindungen von den Laichtieren in die Eier zu untersuchen. Außerdem wurden mittels Satellitentransmittern Untersuchungen zum Verhalten laichreifer weiblicher Aale im Laichgebiet durchgeführt.
Unsere Forschungsfragen
Welche Halterungsbedingungen fördern die hormonelle Reifung von Aalen? Welche Bedingungen fördern den Befruchtungserfolg, das Überleben der Eier und den Schlupf der Larven? Können die Aallarven mit einem Futtermittel auf Basis von gelatinösem Plankton ernährt werden?
Ergebnisse
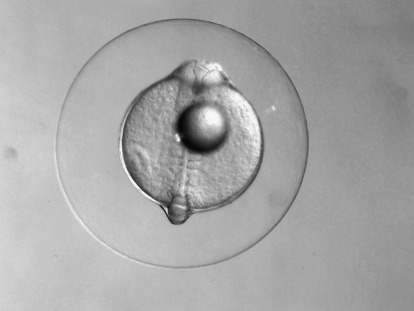
Die hormonelle Reifung der Aalweibchen und Aalmännchen wurde erfolgreich durchgeführt und synchronisiert. Darüber hinaus wurden regelmäßig Aaleier befruchtet und auch der erfolgreiche Schlupf gesunder Larven wurde wiederholt erreicht. Die Überlebensdauer einzelner Larven konnte durch die Verbesserung der Hälterungsbedingungen auf 23 Tage verlängert werden. Umfangreiche Fütterungsversuche konnten aufgrund hoher Larvensterblichkeiten jedoch nicht durchgeführt werden. Der Transfer einzelner potentiell reproduktionstoxischer Verbindungen in die Eier des Europäischen Aals wurde erstmals nachgewiesen. Die Ergebnisse zum Verhalten der Aale im Laichgebiet werden aktuell ausgewertet.
Thünen-Ansprechperson

Thünen-Beteiligte
Beteiligte externe Thünen-Partner
-
Universität Hamburg
(Hamburg, Deutschland) -
BlueBioTech GmbH
(Büsum, Deutschland) -
Spranger Kunststoffe GmbH
(Plauen, Deutschland)
Geldgeber
-
Bundesanstalt für Landwirtschaft und Ernährung (BLE)
(national, öffentlich)
Zeitraum
2.2014 - 7.2017
Weitere Projektdaten
Projektfördernummer: 28-1-73.034-10
Förderprogramm: Innovationsförderung
Projektstatus:
abgeschlossen
Publikationen
- 0
Freese M, Yokota Rizzo L, Pohlmann J-D, Marohn L, Witten PE, Gremse F, Rütten S, Güvener N, Michael S, Wysujack K, Lammers T, Kiessling F, Hollert H, Hanel R, Brinkmann M (2019) Bone resorption and body reorganization during maturation induce maternal transfer of toxic metals in anguillid eels. PNAS 116(23):11339-11344, DOI:10.1073/pnas.1817738116
- 1
Freese M, Sühring R, Marohn L, Pohlmann J-D, Wolschke H, Byer J, Alaee M, Ebinghaus R, Hanel R (2017) Maternal transfer of dioxin-like compounds in artificially matured European eels. Environ Pollut 227:348-356, DOI:10.1016/j.envpol.2017.04.096
- 2
Marohn L, Hanel R (2017) Untersuchungen zur Aalvermehrung am Thünen-Institut - ein Statusbericht. Mitt Landesforschungsanst Landwirtsch Fischerei Mecklenburg Vorpommern 58:38-41
- 3
Marohn L, Hanel R (2016) Untersuchungen zur Aalvermehrung am Thünen-Institut. Fischer Teichwirt 67(12):444-445
- 4
Sühring R, Freese M, Schneider M, Schubert S, Pohlmann J-D, Alaee M, Wolschke H, Hanel R, Ebinghaus R, Marohn L (2015) Maternal transfer of emerging brominated and chlorinated flame retardants in European eels. Sci Total Environ 530-531:209-218, DOI:10.1016/j.scitotenv.2015.05.094












